
Macizo Facial


Radiofrecuencia del V par
La neuralgia del trigémino “típica” se caracteriza por un dolor paroxístico, unilateral, severo, penetrante de carácter lancinante o eléctrico, de corta duración, localizado en una o varias ramas del trigémino. El dolor puede desaparecer durante las crisis, aunque puede permanecer un dolor sordo residual en un porcentaje cercano al 40%. No existen déficit neurológico y en las neuralgia del trigémino típica existe un desencadenante que el paciente evita para disminuir el número de crisis (hablar, comer, afeitarse, cepillarse los diente…). El tratamiento inicial de este síndrome es farmacológico, respondiendo en el 70% de los casos, si no responde al tratamiento médico se inicia el tratamiento intervencionista.
TÉCNICA
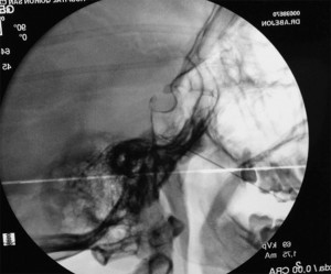
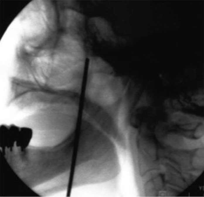
El paciente se coloca en decúbito supino, con la cabeza ligeramente en hiperextensión. Con el arco de fluoroscopia en posición anteroposterior AP se rota en dirección caudal hasta obtener una visión submentoniana, realizando entonces proyección oblicua ipsilateral (10-15º) hacia el lado a tratar hasta que se encuentre el foramen oval. Una referencia útil, si resulta complicada la visualización del mismo, es trazar una línea imaginaria que una la apófisis estiloides de la mandíbula con la última pieza dentaria del maxilar superior. Si las ramas a tratar son la segunda y la tercera dirigiremos la aguja en visión túnel hacia la parte central del foramen oral. (entrando a nivel de la piel a dos dedos de la comisura bucal) y si es la primera rama, dirigiremos la aguja en visión túnel a la parte interna de dicho foramen (a tres dedos de la comisura bucal), por la localización de las ramas como se ha descrito en anatomía. Una vez localizado el foramen oval y señalizado el punto de entrada en la piel, se fija la cabeza del paciente para evitar la movilización de la misma durante el procedimiento y se procede a realizar una sedación profunda.. Una vez introducida la aguja y antes de profundizar, es conveniente introducir un dedo en la boca del paciente para asegurarnos que no se ha perforado la mucosa oral, lo que conlleva el riesgo de contaminación y la posibilidad de producir una meningitis. La aguja se avanza hasta la entrada en el agujero oval, que se suele apreciar un aumento de la resistencia, en ese momento se realiza una proyección lateral para comprobar la profundidad y la correcta colocación en la cavidad de Meckel, no debiendo superar la punta el plano del clivus. Una vez comprobada la adecuada situación se procede a la estimulación, primero se realiza una estimulación motora a 0.6v comprobando que no existe contracción del masetero si se obtiene estímulo motor, la aguja se avanza cuidadosamente 1 ó 2mm. Se procede a despertar al paciente y con un estímulo sensitivo se comprueba la parestesia en la rama adecuada. Nuevamente se profundiza la sedación y se realiza la lesión. Estimulación sensitiva: (50Hz) desde notar parestesias entre 0.1- 0.5v. Estimulación motora: (2Hz) no debe haber contracción del musculo masetero con 0.7-1v (excepto si se está estimulando la tercera rama). Se realiza varias lesiones con radiofrecuencia convencional (1ª lesión 60s a 60º, 2ª lesión 60s a 65º y 3ª lesión 60s a 70º).
Si se emplea radiofrecuencia pulsada se realizara el tratamiento a 40-45v durante 120s con una temperatura no superior a 42º. Es conveniente administrar una dosis de 40mg y 5v de Metilprednisolona al terminar el procedimiento.
La denervación periférica muy utilizada antiguamente se reserva hoy día para pacientes con pobre estado de salud y corta expectativa de vida debido al bajo riesgo de complicaciones. Fundamentalmente los nervios que se tratan son el supraorbitareo, infraorbitario, alveolar, lingual y el mentoniano. El bloqueo temporal puede hacerse con infiltración de lidocaína o bupivacaina, pero para conseguir un efecto más duradero se puede hacer la lesión mediante la instilación de alcohol o por medio de radiofrecuencia convencional/pulsada. Las ventajas de estos procedimientos periféricos es que son rápidos, requieren poco equipo, la cornea no se altera, no se presenta queratitis, la recuperación postoperatoria es corta y las complicaciones mayores son raras debido a la localización de las mismas, la principal desventaja de estos procedimientos son los resultados a largo plazo de las mismas.



Bloqueo y radiofrecuencia sobre el ganglio esfenopalatino
La neuralgia del ganglio esfenopalatino (también denominada neuralgia de Sluder) es una neuralgia facial poco frecuente, de etiología confusa y con una frecuencia del doble en las mujeres con respecto a los hombres. El dolor es unilateral, continuo y tenebrante, se localiza alrededor del ojo, maxilar superior y dientes, propagado al cigoma y región temporal con dolor de oído y la mastoides. También se puede propagar al occipucio, cuello, hombro, escapula, brazo, antebrazo y mano. Suele coexistir un síndrome simpático de rinorrea, lagrimeo, estornudos, fotofobia y salivación. En ocasiones se puede apreciar una discreta disminución del sentido del gusto en la mitad anterior de la lengua y en ocasiones pueden aparecer vértigos. No suele existir en estos pacientes, a diferencia de los pacientes con neuralgia del trigémino, ningún desencadenante claro siendo su hay distribución y duración son variables.
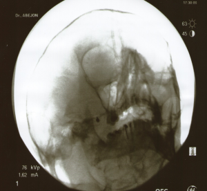
TÉCNICA
El paciente se coloca en decúbito supino. Con una proyección lateral del arco de rayos se localiza el angulo mandibular, de manera que podamos obtener una proyección lateral pura, se elimina el doble contorno mandibular, una vez conseguida esta proyección también se elimina la posibilidad de visualizar dos fosas en la proyección. En este momento se procede a fijar la cabeza del enfermo a la mesa quirúrgica. Con la proyección lateral se localiza la fosa pterigopalatina del lado a tratar En esta proyección se deben localizar la silla turca, el clivus y el seno esfenoidal. La fosa pterigoideapalatina se encuentra en la parte anteroinferior del seno esfenoidal, teniendo una forma de coma, situándose el ganglio en el tercio superior de la misma. Una vez localizada la imagen radiológica, se sitúa una varilla metálica que se superponga longitudinalmente con la fosa y se marca una línea en la piel que coincida con la barra. En el punto donde esta línea se cruza con el borde inferior del arco zigomático tendremos el punto de entrada. Se llega a la fosa a través de la escotadura mandibular y la fisura pterigomaxilar. Esta técnica no se puede realizar en visión túnel, pues se interpone el arco zigomático, por lo que tendremos que dirigir la aguja ligeramente superior y anterior, hasta que choquemos con hueso. A continuación recolocamos los rayos en visión anteroposterior comprobando la situación final de la aguja por dentro del borde de la fosa nasal, por encima del cornete medio.
Llegado a este punto se puede hacer:
Bloqueo diagnostico: inyectando 1ml de Bupivacaina 0.25%.
Radiofrecuencia: para la que realizamos estimulación sensorial (50Hz) con 1v, el paciente debe notar parestesias en la región nasal, si la parestesia se produce en el paladar, es necesario recolocar la aguja mas cranealmente. Si se realiza radiofrecuencia convencional se debe inyectar 1-2ml de lidocaína 2% y se realiza una lesión a 80º durante 90 segundos. Una vez realizada la lesión se introduce la aguja 1mm y se realiza una segunda lesión y después se retira la aguja 2mm y se realiza una tercera lesión. Si se realiza radiofrecuencia pulsada se realizara la lesión a 45v durante 120 segundos.
Dónde estamos

Hospital Universitario Quirón
C. Diego de Velázquez, 1
Pozuelo de Alarcón
Madrid



Quirónsalud Valdebebas
C. Jordi Solé Tura, Av. de Juan Antonio Samaranch
Valdebebas
Madrid
TRABAJAMOS CON ESTAS ASEGURADORAS
CONTACTA
Decidir
tratar tu dolor es el primer paso para volver a sentirte bien.
Si convives con dolor y quieres entender qué está pasando o qué opciones existen para tratarlo contacta con nosotros. Nuestro equipo revisará tu caso y se pondrá en contacto contigo para orientarte.















